Bailey´s Geschichte

Veröffentlicht am 8. Januar 2024 um 11:23

Das ist meine Bailey Maus.

Er ist inzwischen 5 Jahre alt. Er kommt aus einer VDH Zucht.

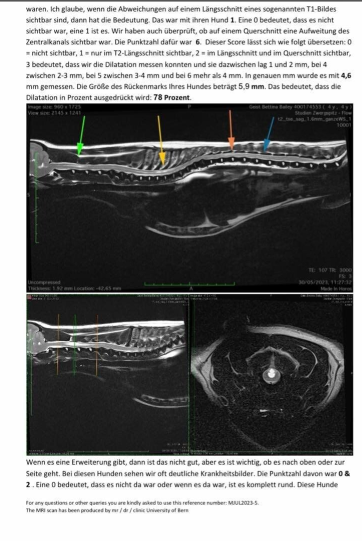
Relativ schnell mussten wir mit ihm zum Tierarzt aufgrund seiner Augen. Da der Tierarzt nicht weiter wusste, schickte er uns zum Spezialisten. Dort wurde festgestellt er hat eine Kerastitis superficialis chronica hat. Leider ist das nicht Heilfasten, da es eine autoimmune Erkrankung ist. Er bekommt täglich spezielle Tropfen und am schlimmeren Tagen noch Kortisontropfen. Ausserdem haben wir in Mai an einer Studie teilgenommen und da wurde noch CM grad 2 und SM grad 2 festgestellt. Er hatte nie irgendwelche Symptome und ist ein super sportlicher Hund. Umso überraschter waren wir von seiner schlimmen Diagnose. Dazu kommt noch eine verkümmerte Wirbelsäule. Ein überbiss und sehr schlechte Zähne.

Kommentar hinzufügen

Kommentare

Es gibt noch keine Kommentare.

Erstelle deine eigene Website mit Webador