Bambi's Geschichte

Veröffentlicht am 11. Januar 2024 um 15:35

Ich möchte euch meine Bambi vorstellen.

Bambi ist 1.5 Jahre alt und kommt aus Deutschland von einer Züchterin welche sogar selbst Zuchtwartin ist.
Bambi hat sehr grosse Ohren (ich finds süss), und eher ein spitzes Näschen.
Ich dachte, sie wird gesund sein...sie hat ja nicht das typische Teddy Pom Gesicht und ich habe mir die Züchterin sehr sehr sorgfältig ausgesucht.

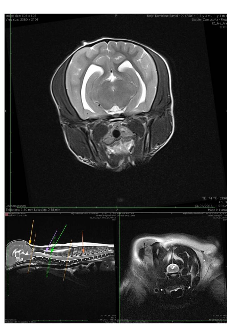
Ich machte von Bambi ein MRT. Ich war schon sooo gebrannt mit all diesen Krankheiten, dass ich es einfach wissen wollte. Ich dacht.. endlich werde ich Glück haben und einen gesunden Pom gekauft haben.

Fazit:

Bambi hat Cm1 und Sm2 und eine offene Fontanelle.
Ihre Syringomyelie ist schon so weit fortgeschritten, dass diese bereits 54% ihres Rückenmarkes verdrängt hat.
Bambi leidet auch in ihrem jungen Alter bereits an Symtpomen wie Luftkratzen, kratzen im Gesicht, reiben der Schnauze, sich in die Pfoten und Rute beissen.
Bambi bekommt Pregabalin alle 12h. Da ihre Symptome nun trotz Medi schlimmer werden, muss ich mit unserer ECVN Neurologin besprechen was wir an den Medis ändern oder wie weiter.

Bambi ist auch sehr sehr klein geblieben und bringt knappe 1.6Kg auf die Waage. 😔
Ich hatte sooo gehofft, das sie grösser und robuster wird.. und vorallem gesund 💔

Die Züchterin vom Bambi??, Sie will nichts wissen und streitet ab das dies eine Erbkrankheit von ihrer Linie ist. Ich wurde blockiert wie auch alle meine Freundinnen. Ihre Zucht besteht weiterhin.

Kommentar hinzufügen

Kommentare

Es gibt noch keine Kommentare.

Erstelle deine eigene Website mit Webador